Skip navigation

13-14

Pilihan Ganda

Pertanyaan

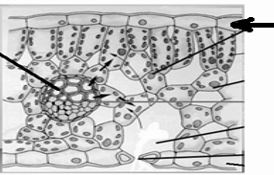
13. Perhatikan gambar berikut!

Bagian yang ditunjuk oleh tanda panah berfungsi ....

Answers

menyimpan udara hasil respirasi

melindungi jaringan di bawahnya 

menyimpan cadangan makanan

tempat berlangsungnya proses fotosintesis

Umpanbalik

Pilihan Ganda

Pertanyaan

14. Perhatikan gambar percobaan berikut!

Kesimpulan dari percobaan tersebut adalah....

Answers

tanaman Hydrilla sangat penting dalam proses fotosintesis

hasil proses tersebut dihasilkan gas CO2  dalam air

gas O2 menjadi bahan dasar dalam proses fotosintesis

air dalam tabung tidak berpengaruh dalam fotosintesis

Umpanbalik

License: public domain